Saltar al contenido

Doctora María Luisa Robles Martín

Angiología y Cirugía Vascular - Hospital Quirónsalud Málaga

  • Sobre mi
  • Patologías Vasculares
  • Vascuteca
  • Novedades
  • Contactar
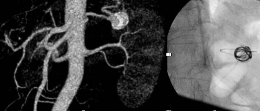
Aneurismas esplénicos, cuáles son sus riesgos y cómo tratarlos
abril 2, 2020

Aneurismas esplénicos, cuáles son sus riesgos y cómo tratarlos

La arteria esplénica es una de las tres ramas que forman el tronco celíaco que tiene su origen en la aorta abdominal. Esta arteria proporciona flujo sanguíneo al bazo. Los […]

Dra. Robles Martín Vascuteca 0 1 min read
  • Contactar
  • Inicio
  • Novedades
  • Patologías Vasculares
  • Sobre mi
  • Vascuteca

Copyright ©2026 Doctora María Luisa Robles Martín . Todos los derechos reservados. Desarrollado por WordPress & Diseñado por Bizberg Themes